Bệnh nhân nuốt nghẹn suốt 6 tháng vì u mỡ thực quản
Bệnh nhân L.T.Th. (59 tuổi, ở Hà Nội) đến khám tại Bệnh viện K trong tình trạng nuốt nghẹn khó chịu, chán ăn thời gian dài dẫn đến cơ thể mệt mỏi, suy nhược.
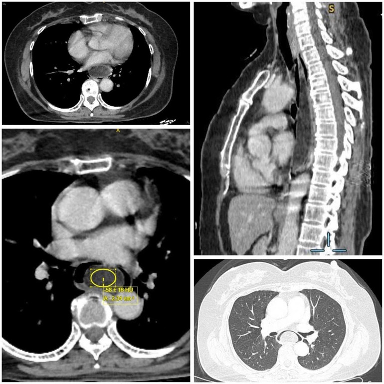
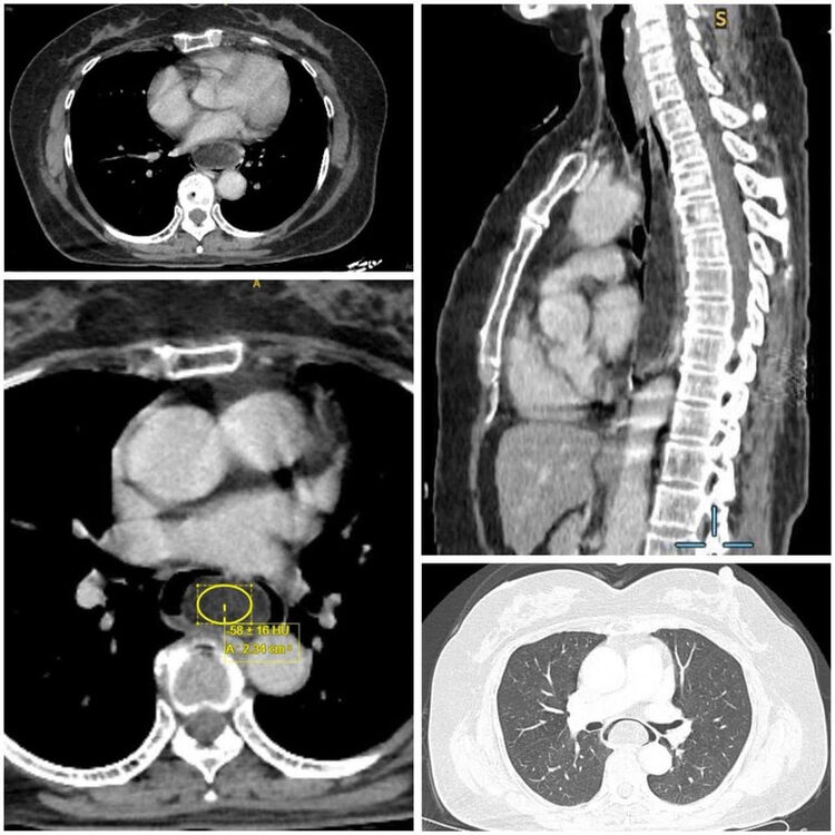
Tiến sĩ, bác sĩ Bùi Ánh Tuyết, Trưởng khoa Nội soi-Thăm dò chức năng, bệnh viện K cho biết, người bệnh vào viện trong tình trạng nuốt nghẹn, đã kéo dài khoảng 6 tháng. Sau quá trình khám lâm sàng, tìm hiểu diễn biến bệnh, thực hiện nội soi và siêu âm nội soi, các bác sĩ kết luận người bệnh có u mỡ thực quản dưới niêm mạc, kích thước 16x3,5x3cm. Đây là khối u có "kích thước khủng", bởi thông thường các khối u dưới niêm mạc đường tiêu hóa có kích thước thường nhỏ hơn 3cm.
“Đây là một trong những ca bệnh hiếm gặp, chỉ chiếm khoảng 0,03% tổng số trường hợp mắc u tân sinh ở thực quản. Tuy nhiên, rất may mắn, trường hợp bệnh nhân Th. có thể xử lý u mỡ thực quản dưới niêm mạc bằng phương pháp can thiệp qua nội soi.
Nếu tiếp tục để u phát triển, bệnh nhân có thể đối mặt với tình trạng nuốt nghẹn, khó ăn uống gây suy dinh dưỡng, ảnh hưởng lớn đến sức khỏe, sinh hoạt hằng ngày. Ngoài ra, do u có cuống di động, kích thước khá lớn nên có nguy cơ chèn bít thanh quản, khí quản, nguy cơ suy hô hấp, có thể dẫn đến tử vong”, bác sĩ Tuyết chia sẻ.

Hình ảnh khối u của bệnh nhân có kích thước rất lớn16x3,5x3cm.
Ba mươi phút can thiệp qua nội soi giúp người bệnh loại bỏ khối u lớn
Sau khi có kết quả, bệnh nhân Th. được nhập viện điều trị tại khoa Ngoại bụng II, bệnh viện K. Chẩn đoán lâm sàng, nội soi, chẩn đoán hình ảnh, các bác sĩ hội chẩn và nhận thấy u lành tính với nguy cơ biến chứng thấp, bệnh nhân cần can thiệp kịp thời để giải quyết triệu chứng nuốt nghẹn và cải thiện chất lượng cuộc sống.
Phương án phù hợp nhất là can thiệp nội soi. Đây là phương pháp tiên tiến với nhiều ưu điểm nổi bật và trường hợp u của bệnh nhân Th. rất may mắn phù hợp với phương pháp này.
Ê-kíp bác sĩ bệnh viện K gồm Tiến sĩ, bác sĩ Bùi Ánh Tuyết, Trưởng khoa và Thạc sĩ, bác sĩ Đỗ Huy Hùng, khoa Nội soi-Thăm dò chức năng đã tiến hành can thiệp bằng nội soi ống mềm qua đường miệng, lấy toàn bộ khối u ra khỏi thực quản của người bệnh. Thời gian diễn ra chỉ khoảng 30 phút, xâm lấn tối thiểu, không có vết mổ thành ngực, không gây mất máu, bảo tồn cấu trúc và chức năng thực quản, giảm nguy cơ biến chứng chức năng nuốt sau phẫu thuật.
Theo các bác sĩ, nhờ những ưu điểm của phương pháp can thiệp nội soi nên người bệnh không cảm thấy đau, khó chịu và có thể ăn uống sau thực hiện can thiệp khoảng 2 giờ. Một ngày sau can thiệp, người bệnh được ra viện với tình trạng sức khỏe ổn định, dự kiến tái khám 6 tháng/lần để đánh giá lại.
Theo khuyến cáo của các bác sĩ Bệnh viện K, nếu có dấu hiệu nuốt nghẹn kéo dài, đau bụng kéo dài, ợ chua, khó tiêu hoặc sút cân bất thường, người dân nên đi khám sớm tại cơ sở y tế để được đánh giá và chẩn đoán kịp thời. Bởi thực hiện sàng lọc và đánh giá sớm khi có yếu tố nguy cơ có thể giúp chúng ta phát hiện sớm và tăng cơ hội điều trị thành công.
Ngoài ra, lựa chọn đúng phương pháp điều trị dựa trên đánh giá toàn diện của bác sĩ tại cơ sở y tế chuyên khoa, phù hợp với tình trạng bệnh lý, tuổi tác và mong muốn về chất lượng cuộc sống cũng là yếu tố quan trọng để người bệnh có thể yên tâm hơn về kết quả cũng như không quá lo ngại về diễn biến sức khỏe sau điều trị.




Đọc nhiều